Оральная радиология и стоматологическая клиника Presi Dent Alanya

Запишитесь на консультацию сегодня! Звоните прямо сейчас в WhatsApp:00 90 530 644 17 32

Запишитесь на консультацию сегодня! Звоните прямо сейчас в WhatsApp:00 90 530 644 17 32

Запишитесь на консультацию сегодня! Звоните прямо сейчас в WhatsApp:00 90 530 644 17 32

Запишитесь на консультацию сегодня! Звоните прямо сейчас в WhatsApp:00 90 530 644 17 32

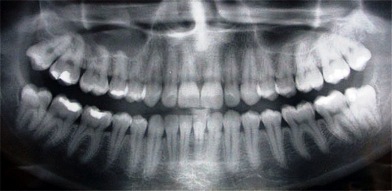
Панорамный рентген, или «Панорекс», как его сначала назвали, — замечательное современное изобретение. Он имеет гораздо меньше радиации, чем традиционный полный набор из восемнадцати (18) рентгеновских снимков меньшего размера, и пациенту гораздо удобнее его делать. Панорамный рентгеновский снимок также можно сделать очень быстро, и он особенно полезен, когда пациент испытывает боль. Обычно панорамный рентгеновский снимок следует делать каждые три (3) года, и может помочь серия таких снимков одного и того же пациента. дантист позже определит, являются ли изменения, видимые на панорамном рентгеновском снимке, нормальными или нет.

Панорамный рентгеновский снимок — это не то же самое, что полный рентген зубов. Панорамный рентгеновский снимок показывает гораздо больше пациента, чем несколько небольших рентгеновских снимков. Очень часто нерв, идущий к нижней губе, нижнечелюстной нерв, не виден при полном раскрытии рта. Паралич нижнечелюстного нерва является возможным осложнением операции по дентальной имплантации, поэтому очень важно делать панорамный рентген всякий раз, когда планируется операция по дентальной имплантации.

Open chat
Hi wellcome.
How can we help you please ?